Enfermedades transmitidas por alimentos (Parte 12)
"No es la apariencia, es la esencia. No es el dinero, es la educación. No es la ropa, es la clase"
(Cocó Channel)
ENFERMEDADES TRANSMITIDAS POR ALIMENTOS (Parte 12)
Taenia Solium (CIE-10 b68) y Cisticercosis o Cisticerciasis (CIE-10 b69)
Estas enfermedades eran conocidas ya por Hipócrates. Se relacionan con los hábitos alimentarios de la población. Taenia solium es un cestodo que parasita el intestino del hombre (huésped definitivo). En su estado de larva (Cystycercus cellulosae) se localiza en los músculos y otros órganos del cerdo (huésped intermediario), y también puede infectar al hombre (huésped intermediario accidental). Es la enfermedad causada por la larva de Taenia solium, antes llamada Cysticercus cellulosae. nombre que no es científicamente válido, pues no corresponde a una especie parasitaria. En la actualidad el nombre más utilizado es cisticerco de T. solium, el cual puede llamarse también metacéstodo de T. solium. Afecta principalmente a cerdos y al hombre. en el cual él compromiso del sistema nervioso central (SNC) es de mayor gravedad. Los cisticercos pueden adquirir dos formas, la vesicular que es la más frecuente, se presenta como quistes redondos u ovalados de 0.5 a 1 cm de diámetro, de color blanco transparente, con escólex en su interior y la racemosa con múltiples sacos en forma de racimo, membrana más delgada, mayor tamaño y sin escólex en su interior. El cisticerco racemoso se considera que puede ser una larva degenerada de T. solium. que crece irregularmente en las cavidades del SNC y excepcionalmente en el parénquima. o una larva de tenia de animales cuya clasificación no se ha definido. En las dos formas de cisticerco, el interior de las vesículas contiene un líquido transparente.

Cuando existe escólex se presenta invaginado con cuatro ventosas y dos coronas de ganchos. La pared vesicular está constituida por tres capas, la externa acidófila muy característica por su forma festoneada. la media formada por tejido conjuntivo y la interna por un retículo de fibrillas. En las capas interna y media se encuentran abundantes corpúsculos calcáreos en forma de vacuolas. Tiene distribución mundial, aunque su incidencia es muy difícil de evaluar por cuanto está relacionada con los hábitos según la cultura, la religión y el lugar. La infección humana es excepcional en los países musulmanes y entre los judíos por la prohibición del consumo de carne de cerdo. Es común en América central y en el centro y norte de América del Sur. México y Ecuador son áreas de alta endemicidad. La prevalencia estimada es del 0.01 % en Argentina. Predomina en las áreas rurales donde se crían y sacrifican cerdos. La fuente de infección es la carne cruda o insuficientemente cocida. El ciclo de infección se mantiene en el ganado si es alimentado en pasturas contaminadas directamente con heces humanas o con efluentes cloacales.
Los huevos de Taenia solium son viables por varias semanas en el medio ambiente. La endemia de neurocisticercosis en la SubRegión Latinoamericana está relacionada con las condiciones de pobreza, el bajo nivel cultural y la falta de educación para la salud. Los países con alta prevalencia son Brasil, Colombia y Ecuador. La neurocisticercosis representa el 10-12 % de los ingresos por causa neurológica. Los estudios realizados en México, Perú y Ecuador muestran que hasta el 50 % de las personas con convulsiones que comenzaron en la edad adulta tienen evidencia imagenológica de la enfermedad. Los animales o el hombre adquieren los cisticercos por ingestión de huevos de T. solium, en cuyo caso actúan como huéspedes intermediarios. Los huevos son eliminados dentro de los proglótides o con las materias fecales, por personas que tengan los parásitos adultos en el intestino. Es importante recalcar que el hombre es el único huésped definitivo natural de T. solium, la cual adquiere al ingerir carne de cerdo cruda con cisticercos. Se concluye entonces que el hombre puede ser a la vez huésped intermediario y definitivo en esta parasitosis.
El mecanismo más frecuente para adquirir la cisticercosis es la heteroinfección. lo cual sucede cuando la persona ingiere los huevos procedentes de otro individuo parasitado. Ocasionalmente ocurre la autoinfección, cuando el paciente con cisticercosis tiene en su intestino T. solium. Esta autoinfección puede ser externa, cuando se contaminan las manos o alimentos con los huevos que el mismo paciente ha eliminado; o interna, cuando se regurgitan proglótides al estómago y sufren la liberación de huevos. Por cualquiera de los mecanismos mencionados, las oncosferas o embriones hexacanto, que se encuentran en el interior de los huevos, quedan libres en el intestino delgado, penetran la pared y llegan al sistema circulatorio, pasan al pulmón y luego al corazón izquierdo, desde donde son distribuidos por la circulación arterial a diversos sitios del organismo, donde crecen hasta constituir los cisticercos. El periodo entre la llegada del huevo al intestino y la formación del cisticerco en los tejidos es de 2 a 3 meses. Los cisticercos pueden permanecer viables por muchos años y aparecer en el paciente con notable diferencia de tiempo, pues la maduración es irregular.
Este aspecto se ha comprobado por la observación de casos que a pesar de haber tenido sólo una infección, desarrollan los cisticercos en diferentes épocas. Esto hace presumir que exista una etapa latente de maduración en algunos cisticercos en el mismo huésped. La ingestión de carne porcina cruda o insuficientemente cocida que contiene larvas viables enquistadas de Taenia solium (cisticercos) determina que éstas sean liberadas por la digestión en el intestino delgado. Las cabezas de las proglótidas (embrión hexacanto) se evaginan a partir de los cisticercos y se adhieren a la mucosa del yeyuno en la que maduran a la forma adulta en 5-12 semanas o pasan a la circulación y se localizan en cualquier órgano transformándose al estado larvario (Cysticercus cellulosae). En la teniasis intestinal la forma adulta se adhiere en la porción superior del yeyuno y alcanza una longitud de 1.5-8 m. Está constituída por menos de 1.000 segmentos o proglótidas que son hermafroditas. Las proglótidas distales se desprenden, migran y pueden ser eliminados pasivamente con las heces. Cada proglótida grávida contiene aproximadamente 50.000 huevos que son depositados en la zona perianal o expulsados en el medio ambiente si se eliminó la proglótida. La eliminación de proglótidas se inicia a los 2-3 meses de la ingestión de la carne infectante. Provoca cuatro acciones:
· Exfoliatriz (se nutre por ósmosis del quimo intestinal).
· Traumática (fijación a la mucosa intestinal)
· Mecánica (por la movilidad del parásito)
· Tóxica (eliminación de catabolitos que se absorben).
La teniasis intestinal es habitualmente asintomática. Puede haber manifestaciones digestivas inespecíficas como hiporexia, dolor abdominal, hambre doloroso, flatulencia, alteraciones del tránsito intestinal (náuseas, vómitos, constipación o diarrea), pérdida de peso así como también manifestaciones nerviosas (irritabilidad, bruxismo). Es muy frecuente el prurito anal. Puede haber síntomas alérgicos. Se han comunicado casos de obstrucción intestinal y perforación intestinal con peritonitis secundaria.

La neurocisticercosis es la más importante localización de la cisticercosis. Los cisticercos se pueden localizar en muchas partes del organismo, pero en la mayoría de los casos comprometen el SNC. Después de esta localización le siguen en frecuencia, el tejido celular subcutáneo y los ojos. El número de vesículas puede ser múltiple, aunque en ocasiones se observan muy pocas o sólo una. En el SNC puede invadir cualquiera de sus estructuras. La localización más frecuente es en el parénquima de los hemisferios cerebrales, seguido de las cavidades ventriculocisternales principalmente el IV ventrículo, espacio subaracnoideo, las meninges y la médula. La cisticercosis múltiple es más frecuente que la única. La forma racemosa prefiere las cavidades, en las cuales adquiere diferente forma y tamaño. La inflamación de los tejidos, principalmente en SNC, se presenta con mayor intensidad cuando los quistes mueren, bien sea espontáneamente o por tratamiento. En estos casos, en la vecindad de los cisticercos se presenta una reacción inmunológica con exudado, inflamación, periarteritis y endarteritis, que puede obliterar la luz de los vasos, obstruir los conductos del LCR y causar hipertensión intracraneana e hidrocefalia.
En algunas localizaciones produce lesiones en los pares craneanos. La meningitis por cisticercosis produce engrosamiento de las membranas y abundante exudado. Si está comprometida la aracnoides, se pueden afectar los pares craneanos de la base y contribuye a la obstrucción del LCR. La invasión de la médula espinal es poco frecuente. Se ha descrito una forma miliar con múltiples cisticercos pequeños que se localizan principalmente en el parénquima cerebral, en cuyo caso se produce encefalitis. Debido a la gran inflamación difusa, es posible que no se observen los quistes en la escanografía. En cuanto a la localización dentro del SNC, se ha encontrado que aproximadamente la mitad están en los hemisferios, una tercera parte en las cisternas, una cuarta parte en los ventrículos y aproximadamente 5% en la médula espinal. Las lesiones múltiples son dos veces más comunes que las únicas en los hemisferios y cisternas, mientras que en los ventrículos es más frecuente la presencia de quistes únicos. Excepto en el cerebro y en el ojo, los cisticercos vivos están rodeados por una cápsula fibrosa, fácilmente desprendible del tejido que los rodea.
Mientras estén vivos presentan mecanismos de adaptación al huésped que les permite una vida muy larga, hasta más de 20 años, y poca reacción inflamatoria periquística. Al morir se degeneran en una masa amorfa, rodeada de células gigantes, histiocitos, células epitelioides, linfocitos y eosinófilos, que progresivamente se va fibrosando y termina por calcificarse. Como el promedio de vida de los quistes es muy variable, lo más frecuente es encontrar en el mismo paciente, cisticercos vivos, en vía de destrucción y calcificaciones. Las manifestaciones clínicas y el pronóstico dependen si los quistes están activos o muertos, de la respuesta immune, del número (único o múltiple) y la localización. El periodo de incubación ha sido estimado en promedio 3,5 años. La neurocisticercosis presenta manifestaciones neurológicas y/o psiquiátricas. Las más frecuentes son la cefalea crónica severa y la epilepsia con convulsiones focalizadas. Las alteraciones neurológicas comprenden signos piramidales, disfunción cerebral, ataxia, movimientos involuntarios y déficits sensoriales. La forma más grave de presentación es la encefalitis cistercósica que ocurre en niños y mujeres jóvenes. Las alteraciones psiquiátricas tienen un amplio espectro, desde las deficiencias intelectuales a la demencia. Existen muchos casos asintomáticos con invasión del SNC (13 a 50% según diferentes publicaciones), en los cuales la presencia de los cisticercos fue un hallazgo de autopsia. De acuerdo a las localizaciones principales, describimos la sintomatología. En las formas que afectan el SNC la sintomatología es muy variada y está determinada por la localización, el número de parásitos y la respuesta inmunológica. La enfermedad puede ser aguda o crónica y el período de incubación varía de pocos meses a muchos años. No existe sintomatología típica y lo más frecuente es la presencia concomitante de varios síndromes.
Estos síndromes en orden de frecuencia son los siguientes:
Cefalea e hipertensión intracraneana: La cefalea se aumenta con los esfuerzos como tos, defecación, etc. y no responde a los analgésicos en casos avanzados. Puede asociarse a síntomas de hipertensión intracraneana, como náuseas y vómito, diplopia, papiledema y pérdida progresiva de la agudeza visual, debido a atrofia óptica por compresión del quiasma o del nervio óptico, que puede llevar a la ceguera. Este síndrome se debe a quistes en los ventrículos y cisternas o a múltiples quistes intraparenquimatosos que causan edema cerebral. En el primer caso, ocasionalmente se llega a producir un bloqueo súbito del LCR que puede ser fatal o presentar el síndrome de Bruns, desencadenado por cambios de posición y caracterizado por vértigo, cefalea, pérdida del conocimiento y aun muerte.
Síndrome psicótico: Puede ser consecuencia de la hipertensión intracraneana o presentarse independientemente. Las manifestaciones son de tipo esquizofrénico o paranoide y en casos de enfermedad de larga evolución se presenta deterioro mental, con pérdida de la memoria, confusión o neurosis.
Síndrome meníngeo: Se presenta cuando los quistes se adhieren a la piamadre o cuando flotan en los espacios subaracnoideos. Los quistes racemosos en las cisternas basales pueden dar aracnoiditis y fibrosis. La sintomatología de meningitis "aséptica" con hipoglicorraquia, aumento de proteínas y de eosinófilos en LCR, se presenta independiente o asociada a hidrocefalia obstructiva. Los cambios visuales ocurren por compromiso del nervio óptico.
Epilepsia: Los quistes o las calcificaciones en el cerebro actúan por compresión, destrucción o irritación del tejido y dan lugar a convulsiones generalizadas de tipo gran mal, focales sensitivas y motoras o crisis parciales con sintomatología compleja. En la cisticercosis calcificada, especialmente de la corteza cerebral, se producen frecuentemente convulsiones de tipo gran mal. La epilepsia en cisticercosis es generalmente de aparición tardía (más común después de los 20 años de edad).
Síndrome de pares craneanos: Los pares más afectados son el óptico, oculomotores y auditivo, con la sintomatología correspondiente a cada uno de ellos.
Síndrome medular: Se presenta independiente o asociado a otros síndromes ya mencionados. Se caracteriza por cambios motores y sensitivos en las extremidades inferiores y finalmente parálisis. Los pacientes pueden tener bloqueo total o parcial del LCR, observado en la mielografía. En algunos casos el medio de contraste revela la imagen del cisticerco. Más raramente se observan otros síndromes, generalmente asociados a los ya mencionados, como cerebeloso, hipotalámico. de fosa posterior, etc.
Cisticercosis subcutánea y muscular: Cerca del 70% de los casos clínicos de cisticercosis, presentan estas localizaciones, la mitad de los cuales la tienen concomitantemente con localización en el SNC. Los nodulos, usualmente observados por el mismo paciente, de 5 a 10 mm. son blandos, no inflamados y no causan dolor. Algunos desaparecen espontáneamente y en las localizaciones subcutáneas o musculares superficiales la patología es escasa.
Oftalmocisticercosis: Esta es la tercera localización en frecuencia. Cuando el cisticerco se localiza en el globo ocular, generalmente es único y unilateral. Cuando está vivo se observa como una vesícula móvil. Puede producir reacción inflamatoria del tracto uveal y de la retina, con exudado, endoftalmitis, desprendimiento de la retina y aun ceguera. Puede presentarse en la parte externa del globo ocular. La localización más común es subretiniana, donde produce poca lesión tisular mientras el parásito esté vivo, pero al morir origina cambios histológicos importantes, por inflamación y reacción inmunológica a las sustancias liberadas. Cuando el parásito está vivo puede dar origen a cambios visuales o disminución de la agudeza visual. Cuando el cisticerco muere, hay dolor, fotofobia, aumento de la deficiencia visual o ceguera.
Localizaciones viscerales: Son poco frecuentes y generalmente no dan sintomatología. Se han encontrado ocasionalmente cisticercos en pulmón, miocardio, riñones, etc. Las localizaciones hepáticas son casi inexistentes.
El diagnóstico es epidemiológico (antecedente de consumo de carne porcina cruda o insuficientemente cocida y por métodos auxiliares. En la teniasis intestinal se realiza por la eliminación de proglótidas móviles (5-7 mm ancho por 20 mm de largo) en materia fecal o en la ropa interior. En este caso deben ser recogidos en formol al 5% para su identificación. El examen parasitológico seriado con método de enriquecimiento por sedimentación debe ser complementado con la prueba de Graham que permite observar los huevos depositados en la zona perianal. En el recuento y fórmula leucocitaria pueden observarse leucopenia y eosinofilia (hasta 28 %). En la neurocisticercosis se utilizan: El diagnóstico por imágenes: tomografía axial computada y resonancia magnética nuclear; El diagnóstico por detección de anticuerpos específicos en sangre y LCR, la técnica de ELISA (sensibilidad 44-74 %), Western blot (sensibilidad 90-100 % si tiene más de dos quistes) y de corresponder, biopsia de cerebro para estudio histopatológico. Utilizando el método de inmunoelectrotransferencia se han identificado entre 30 y 50 antígenos diferentes producidos por los cisticercos, que reaccionan con los anticuerpos de pacientes con cisticercosis. Muchos de estos antígenos producen reacciones cruzadas con otras helmintosis.
El antígeno B es el más reconocido por los anticuerpos humanos encontrados en el suero o LCR y tiene anticuerpos específicos en el suero del 84% de los casos con neurocisticercosis. Este antígeno ha sido purificado y se sabe que es una glicoproteína de aproximadamente 95 kDa, presente en la superficie parasitaria y en productos de secreción. Por medio de la prueba de ELISA se encontró que los sueros de pacientes con cisticercosis presentaban un promedio de IgG en el 85%, IgM en el 50% e Ig A en el 26%. La IgG se presentó concomitantemente en suero y en LCR en el 58% de los casos. Es, pues, la IgG la inmunoglobulina predominante en la respuesta humoral de la cisticercosis. Cuando se usa la inmunoelectrotransferencia (en inglés enzime-linkedimmunoelectrotransfer blot, EITB), llamada también western blot o inmunoblot, se encuentran siete bandas de glicoproteínas, reconocidas por el suero de pacientes con cisticercosis, cada una con diferente peso molecular. La respuesta celular en cisticercosis ha sido menos conocida, lo cual sugiere que los cisticercos tienen la capacidad de inmunosuprimir al huésped.
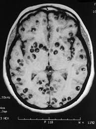
Existen mecanismos de evasión inmune en la cisticercosis, contra los eosinófilos y los macrófagos, así como por inhibición de linfocitos T. Estos mecanismos dejan de actuar cuando los cisticercos son afectados en su viabilidad, por el tiempo o por tratamientos. En el diagnóstico clínico de la neurocisticercosis, es importante considerar la procedencia del paciente, pues generalmente se conocen las zonas endémicas. La presencia de epilepsia de aparición tardía, de hipertensión endocraneana, de meningitis crónica, etc., deben hacer pensar en cisticercosis y exigen un diagnóstico clínico diferencial con tumor cerebral, obstrucción venlricular de otro origen o cualquier causa de compresiones en tejido cerebral. El electroencefalograma presenta cambios en la mayoría de los casos, pero es de poca utilidad para el diagnóstico diferencial. Los estudios que se deben realizar en un paciente sospechoso de neurocisticercosis son: Estudios radiológicos (Escanografía o Tomografía axial computarizada (TAC) y la resonancia magnética (RM) son los métodos más utilizados en la actualidad.
La RM es más sensible que la TAC. al reconocer mejor el edema perilesional y los cambios degenerativos del parásito, así mismo los quistes intraventriculares o cerebelosos y las formas racemosas en las cisternas de la base y la fosa posterior. Permite también visualizar mejor el escólex dentro del quiste, como un punto de mayor densidad. Las calcificaciones se aprecian mejor por la TAC. Desde hace muchos años se utilizó la fijación del complemento, la cual fue seguida por la hemaglutinación indirecta. Estos dos métodos fueron remplazados por la prueba inmunoenzimática (ELISA), que se usa ampliamente en la actualidad, aunque tenga una eficacia moderada y la prueba de preferencia es el inmunoblot o western blot. La droga recomendada es Praziquantel en dosis única de 10 mg/kg y la curación estadísticamente probada, es del 88-100 %. Se elimina por la leche, por lo tanto, la madre no debe amamantar por 4 días. Es escasa la experiencia en menores de 4 años. Las drogas alternativas son: Nitazoxanida, con una eficacia es del 90 %. No se puede utilizar en niños menores de 3 años, gestación y lactancia. El Albendazol está contraindicado en epilepsia, embarazo y lactancia. No hay experiencia de uso en menores de 2 años. La Niclosamida y la Paramomicina, completan la lista de alternativos. En casos de cisticercosis calcificada no se justifica el uso de antiparasitarios. Debido al amplio uso de los dos antihelmínticos, efectivos en la mayoría de los quistes intraparenquimatosos, se ha limitado el tratamiento quirúrgico. Son indicaciones quirúrgicas también los quistes solitarios del IV ventrículo, quistes de otros ventrículos o de la médula espinal y algunos subaracnoideos. La cisticercosis es una parasitosis propia de países subdesarrollados y como todas las infecciones producidas por contaminación fecal. La defecación en la tierra donde existan cerdos que consumen materias fecales humanas y el mal saneamiento ambiental unido a deficiente higiene personal, son los factores que facilitan la presencia de cisticercosis.
La neurocisticercosis se ha comprobado en 16 países de América Latina y afecta aproximadamente a 300.000 personas. El número de casos de cisticercosis diagnosticados en el mundo ha venido incrementándose progresivamente por el avance en los métodos de diagnóstico y por el aumento de viajeros. Aunque la cisticercosis no se considera una infección oportunista en el SIDA, los factores inmunológicos deprimidos en estos pacientes, pudieran contribuir a la presentación sintomática de NCC. Se han descrito en varios países endémicos asociaciones de las dos enfermedades, sin estar establecida la posible relación de la deficiencia inmunológica. Los factores epidemiológicos del complejo teniosis-cisticercosis están íntimamente ligados a la cría de cerdos sueltos alrededor de las viviendas, donde pueden ingerir materias fecales humanas. De este modo se origina la cisticercosis porcina. Cuando el hombre ingiere carne de cerdo cruda o mal cocida, que contenga cisticercos, sufre la teniosis intestinal.
Resumiendo, las medidas básicas son:
· Provisión de agua segura
· Eliminación sanitaria de excretas
· Cocción adecuada de la carne porcina (a temperatura mayor de 65ºC en su centro térmico).
· Tratamiento de los infectados.
· En aquellas áreas donde no hay accesibilidad a las dos primeras se debe trabajar en la educación para la salud con el fin de evitar la contaminación fecal del agua, la tierra y los alimentos destinados a las personas y animales.
· No uso de aguas servidas para el riego de las pasturas.
· Conservación de la carne porcina a temperatura menor de 5ºC durante más de 4 días destruye los cisticercos al igual que el mantenimiento a temperatura de 0ºC durante 12 horas.
· Irradiación de las carnes.
· La inspección de las reses en el canal, aunque es un procedimiento de poca eficacia por cuanto detecta un bajo porcentaje de animales infectados.
"SOMOS LO QUE HACEMOS REPETIDAMENTE. EXCELENCIA, POR LO TANTO, NO ES UN ACTO SINO UN HÁBITO"
ARISTOTELES
LEGALES: El autor no asume responsabilidad alguna por la descarga, copia, distribución, modificación o alteración de los contenidos publicados, sean propios del mismo o de terceros, los cuales pudieren estar protegidos por Copyright, Derechos de Propiedad Intelectual, Derechos de Autor, o relacionados. La Bibliografía del tema expuesto y el crédito fotográfico está en poder del Autor y no se publica dada su extensión, pero se enviará por mail al interesado que la solicitare debidamente fundamentada.


Comentarios
Publicar un comentario